丁香医生审稿专业委员会同行评议通过在眼科诊室里,最令医生难受的不是近视一千度,而是那种「像被机关枪扫射过」的眼底。
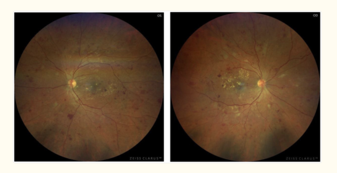
《PMC》的一篇病例报告中,报道过一位 33 岁男性患者,视力在短短一周内,从正常退化到只能看得到手指晃动。
医生通过眼底镜一看:视网膜上布满了出血点和渗出物,中心黄斑区可见水肿。

图片来源:文献
高血糖环境下,微血管可能受氧化应激和炎症影响,变得脆弱易渗漏。为了代偿,眼底可能出现视网膜微血管瘤及生成新生血管,但这些血管易破裂导致出血。
这是典型的糖尿病视网膜病变(DR)。
你可能会说:我又没糖尿病,这离我太远了。
这正是最大的误解。 高糖对视力的影响,在演变成糖尿病之前就已经悄悄开始了。
据世界卫生组织(WHO)数据显示,全球超过 22 亿人遭受视力损害,而高糖摄入可能作为风险因素参与这个进程。
研究显示,长期高糖饮食即使在非糖尿病人群中,也会让眼部并发症风险增加相关。
高糖与视力问题的关联,被低估太久了。
我们总以为,只要没确诊糖尿病,血糖的波动就只是体检单上的数字。
但真相是,每一次高糖摄入引发的血糖飙升,都是对眼底微血管的一次冲击。
而糖之所以很难对付,还因为它是一个非常复杂的对手,从来都不是莽夫的打法,而是伴随着遗传和其他伤眼习惯,非常有技巧性的选手——
在不同的人生阶段,它都会找到最为薄弱的环节,开始狙击。

图片来源:giphy
01 拉长眼轴,狙击小孩
先说结论:高糖与儿童近视可能有关,而且对女孩影响更大。
在 0~12 岁眼球发育的关键期,最重要的事情就是保持眼球的长度(眼轴)稳定发育,这决定了孩子一生的视力。
正常眼轴约 23.5mm,高糖饮食可能作为风险因素,与眼轴延长相关。
甜食摄入后,体内胰岛素激增,可能释放出大量的生长因子,这些物质可能作用于眼球的最外层「壳」——巩膜。

图片来源:giphy
想象眼球是一个紧实的皮球,现在外壳顶不住压力,变薄、变软,在正常的眼内压力下,眼球就会像被吹薄的气球一样向后膨胀。
对于儿童青少年,眼轴每被「撑长」1mm,近视就增加 165~259 度。
很少有人会注意到高糖在这里面的关联,它美美隐身,然而这种结构性改变是永久性的,一旦拉长,谁也缩不回去。
02 干扰晶状体,狙击大人
有些人会在大吃大喝的高糖摄入之后,感觉眼睛好像模糊了......

图片来源:🍠
这不是错觉:成年人的视力波动,可能也与高糖引发的渗透压变化相关。
当你摄入过量糖分,血糖迅速攀升,多余的糖会涌入晶状体,并转化成一种极难排出的物质:山梨醇。
山梨醇可以干嘛呢?吸水🧽:

图片来源:网络
它像强力海绵一样,将周围的水分吸进晶状体内部,晶状体直接被被「泡肿、泡大」了。
这就是为什么,有时候高血糖摄入之后会有模糊感,这种反复的「肿胀-干瘪」过程,也会对晶状体造成持久创伤。
03 抢能量,狙击全人群
视神经是最累的,它连接眼睛与大脑,工作极其耗能,需要依靠维生素 B1 作为「电力来源」的支持。
然而,糖分是个「路霸」,高糖代谢时会强行抢走维生素 B1,视神经与糖在竞争同一份能源,可能导致视神经没得吃。

图片来源:giphy
长时间用眼之后,你眼眶极度酸胀、对焦迟钝,这可能不是简单的疲劳。长期缺乏 B1,可能导致视神经功能衰退,甚至引发不可逆的损伤。
糖,是个太危险狡诈而且能力很强的对手,但我们也不是束手无策。

图片来源:网络
基于大量随机对照试验的结论,你可以通过以下三招进行自救:
01 严控「25 克」
根据 WHO 指南,每日添加糖应严格限制在 25 克以内。
一杯所谓的三分糖奶茶,含糖量依然高达 25~33 克,喝着不怎么甜,但一整天只喝一杯,就已经超过了每日 25 克的推荐限量。
更别提一盘鱼香肉丝、一块威化巧克力,就能让你的糖分摄入瞬间爆表。
02 建立血糖「缓冲带」
改变进食顺序:先吃蔬菜(纤维),再吃肉类(蛋白),最后吃主食(碳水),这种顺序能降低血糖峰值,也能平缓血糖波动。
一起保护晶状体,让它少受冲击好吗!

图片来源:网络
补充维生素 B1:增加粗粮、绿叶菜摄入,补足被糖代谢消耗掉的维生素 B1,为视神经「供电」。
03 强化「多巴胺保护」
每天保证 2 小时以上的户外活动。
强光能刺激视网膜产生多巴胺,这是一种天然的「眼轴稳定剂」。干预试验显示,增加户外时间能降低近视发生率。
我们习惯于给视力受损找各种理由:手机刷多了、灯光太暗了、熬夜太猛了。
但很少有人意识到,那口被咽下的糖,也正在暗处通过复杂的代谢锁链,悄悄勒紧我们的视神经和眼轴。
眼睛是极其精密的仪器,它经不起高糖环境长年累月的「浸泡」与「冲刷」。
控糖,本质上是在为我们的眼睛换取更长的保质期👀。
审核专家

策划 塔盖
监制 Feidi、王姐
参考文献:
[1]Ranathunga I, Idampitiya C. Proliferative diabetic retinopathy as the initial presenting feature of type 1 diabetes. Endocrinol Diabetes Metab Case Rep. 2023 Dec 18;2023(4):22-0406. doi: 10.1530/EDM-22-0406. PMID: 38108392; PMCID: PMC10762546.
[2]Ebrahimi MH, Gharibi H. A case study of a patient with diabetic retinopathy. Diabetes & Metabolic Syndrome. 2016 Jul-Sep;10(3):166-168. DOI: 10.1016/j.dsx.2016.01.022. PMID: 26907970.
[3]Kang Q, Yang C. Oxidative stress and diabetic retinopathy: Molecular mechanisms, pathogenetic role and therapeutic implications. Redox Biol. 2020;37:101799. doi:10.1016/j.redox.2020.101799.
[4]Berticat C, Mamouni S, Ciais A, et al. Probability of myopia in children with high refined carbohydrates consumption in France. BMC Ophthalmol. 2020;20(1):337. doi:10.1186/s12886-020-01602-x
[5]Unhealthy Dietary Trends Linked to Myopia in Children. Review of Optometry. 2026.
[6]Thorne CA, Elliott C, Yan J. The Synergistic Effects of Polyol Pathway-Induced Oxidative and Osmotic Stress in the Aetiology of Diabetic Cataracts. J Clin Med. 2024;13(15):4433. doi:10.3390/jcm13154433.
[7]Gratton SM, Lam BL. Visual loss and optic nerve head swelling in thiamine deficiency without prolonged dietary deficiency. Clin Ophthalmol. 2014;8:1021-1024. doi:10.2147/OPTH.S59129.
[8]French AN, Ashby RS, Morgan IG, Rose KA. Time outdoors and the prevention of myopia. Exp Eye Res. 2013;114:58-68. doi:10.1016/j.exer.2013.04.018.