丁香医生审稿专业委员会同行评议通过2026 年 1 月,印度西孟加拉邦巴拉萨特(Barasat)的一家私立医院,有两名医护人员开始出现不寻常的症状——高热、呼吸困难、意识混乱。
进一步检测结果发现,这并非流感或常规病毒性疾病,而是一种致死率极高、尚无疫苗和特效治疗的罕见人畜共患病原体感染——尼帕病毒(Nipah Virus)。

印度尼帕病毒疫情(图源:视频截图)
随后,接触过患者的人员被紧急隔离,但病例数仍然从 2 例增加到至少 5 例,包括护士、医生和其他卫生工作人员。同时,还有近 100 名密切接触者被要求隔离观察。
值得注意的是,不少媒体在报道中提到的尼帕病毒病死率高达 75% 其实并不准确。
实际上,在此前的几次暴发中,这种病毒曾一次性带走上百条性命,病死率最高达到了惊人的 100%。
曾被误认为乙脑,一次性造成上百人死亡
造成这一切的尼帕病毒确实比较冷门。一方面,我国国内从未出现过相关的疫情,另一方面,尼帕病毒其实非常「年轻」,在 1999 年才被正式确认,到现在也就 27 岁。
1998 年秋天,马来西亚半岛北部的养猪区开始出现异常情况。有人发现,猪出现了呼吸道症状、神经异常、快速死亡的情况;不久后,养殖人员也开始陆续出现发热、头痛的症状,随后迅速进展为严重脑炎。

马来西亚疫情数据(图源:参考资料 3)
由于当时乙型脑炎(国际上一般叫「日本脑炎」,简称「乙脑」)在当地并不罕见,这场疫情一度被误判为乙型脑炎的「异常流行」。
1998 年至 1999 年间,马来西亚和新加坡已经累计报告了超过 260 例人类感染病例,更恐怖的是,病死率竟然接近 40%。
更令人意外的是,尽管养殖人员纷纷接种乙脑疫苗,但疫苗似乎并未对这次「乙脑」疫情产生任何效果。
真实的原因,到底是什么?
经过科研人员的努力,最终在患者脑组织和猪体内分离出一种此前从未被发现过的副黏病毒科(Paramyxoviridae)病毒。由于最早的样本来自马来西亚的尼帕河(Sungai Nipah) 一带,因此这种病毒被命名为「尼帕病毒」。

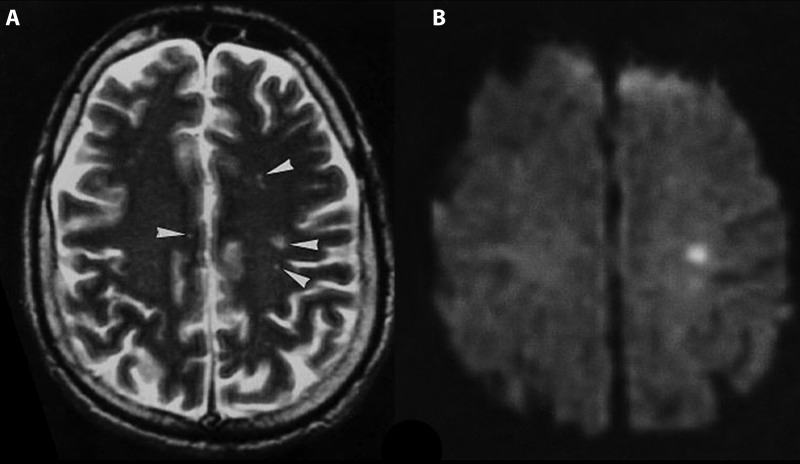
尼帕病毒感染后脑炎的核磁共振图像(图源:参考资料 1)
最终,人们短暂地战胜了这场疫情,但是代价也相当大:265 人发病,105 人死亡,100 万头猪被扑杀。
这也宣告着,一种来源于野生动物、可通过中间宿主跨越物种屏障、并对人类造成高致死率脑炎的新病原体,正式被发现。
主要感染果蝠和猪,也可人传人
尽管名字陌生,但实际上,尼帕病毒离我们并不远。
2025 年,我国学者在云南省生活于村庄附近果园中的果蝠体内,发现了两种与尼帕病毒高度相关的新病毒。
更早一些,2022 年来自军科院、新加坡国立大学医学院等机构学者在中国山东和河南新发现了一种可感染人类的动物源性亨尼帕病毒,并命名为「琅琊病毒」——尼帕病毒也属于副黏病毒科亨尼帕病毒属。
作为一种人畜共患病原体,尼帕病最主要感染的两种动物,就是我们日常就能见到、甚至农村地区还能时常接触到的动物:果蝠和猪。
果蝠能通过被病毒污染的尿液、唾液或排泄物将病毒污染食物或环境,人类最经典的感染途径就是饮用被果蝠污染的椰枣汁或接触被污染的水果。

果蝠(图源:视频截图)
而猪的传播方式更常见,人类在饲养、屠宰或密切接触感染动物时就可能被传染,这也是马来西亚早期疫情的主要传播模式。
除了动物传播给人之外,人与人之间也可以通过密切接触患者的呼吸道分泌物、唾液或血液传播,因此也会造成家庭和医院的暴发。
文章开头提到的印度最新暴发的尼帕病毒疫情,就要溯源到一名 56 岁女性患者,于 2025 年 12 月疑似因尼帕病毒感染(发热、意识障碍)去世,其生前所住的医院就是上文提到最初两名感染医护所在的医院。
截至目前,尼帕病毒不仅覆盖了东南亚和印度、孟加拉国,还覆盖到非洲、澳洲等地。

恐怖致死率,但「高达 75%」并不准确
近年来,尼帕病毒受到全球越来越多的关注,一方面是这种全新发现的病原体可以跨物种传播,另一方面则是感染后堪称「恐怖」的病死率。
在马来西亚-新加坡的疫情之后,尼帕病毒又在印度、孟加拉国、菲律宾的多地造成疫情。其中,仅在印度就出现了 8 次暴发(其中 2 次仅有 1 例确诊病例),而 2026 年初这次则是第 9次,也是自 2018 年以来印度喀拉拉邦的第 7 次尼帕病毒疫情。
在此次疫情暴发后,也有不少媒体在报道中,以「病死率可高达 75%」的表述,渲染着尼帕病毒的恐怖。
但这里需要关注一个非常关键的问题:75% 这个数据其实不太准确。

既往暴发不完全汇总及病死率情况(图源:作者整理)
「75%」的数据来源是 2004 年 4~5 月孟加拉国法里德布尔地区的疫情数据。在这次疫情中,当地报告了 36 例(23 例经实验室诊断,13 例疑似病例)尼帕病毒感染,其中 27 例死亡(75%)。
如果只考虑单次的暴发,那么尼帕病毒的病死率可高达 100%。这个数据出现在 2007 年的印度西孟加拉邦纳迪亚县(Nadia),好在是一次规模较小的疫情,总共出现 5 例病例,但不幸的是病死率高达 100%。
除了这次之外,2021 年和 2024 年的印度、2025 年的孟加拉国,都出现过病死率高达 100% 的小规模暴发。
如果从周期来看,基于 2001 年至 2024 年 2 月期间孟加拉国记录的 341 例人类病例数据看,尼帕病毒感染的病死率估计高达 71%。

黄色为病例数,红色为死亡数,黑线是病死率(图源:参考资料 2)
当然,世界卫生组织(WHO)将病死率的数据描述为「40~75% 之间」,但明确追加了一个信息:该比例可因不同疫情而有所变化,主要取决于当地的流行病学监测能力和临床救治管理水平。
因此,「最高 75%」或「高达 75%」的说法其实是不够准确的,但这并不影响尼帕病毒成为除狂犬病(总体病死率接近 100%)外病死率最高且具有人际传播能力的人畜共患病原体之一。
疫苗被叫停,仍无有效疗法
由于高致病性、高致死率,同时缺乏有效治疗与疫苗,且跨物种传播和暴发难以预测,可能对公共卫生构成重大威胁,因此,尼帕病毒被 WHO 列入「R&D Blueprint」(WHO 研发蓝图)优先病原体名单。

2019 年,WHO 还发布了《尼帕病毒研发路线图,2019 年高级草案》,目标是在 5 年中系统性加速诊断、治疗和疫苗等医学应对措施(MCMs)的研发、注册、生产与可及性,以应对未来可能出现的高致死率疫情。
遗憾的,5 年时间早已过去,至今却仍然没有任何针对尼帕病毒的疫苗被成功开发。

全球尼帕病毒疫苗研发情况(图源:作者整理)
更糟糕的是,在反疫苗情绪下,一些研发进度靠前的尼帕病毒疫苗将不再研发。
近期媒体报道,随着美国政府不断削弱美国在传染病疫苗领域的基础设施支持,以及如此严重的反疫苗氛围,Moderna 首席执行官斯特凡·班塞尔(Stéphane Bancel)在接受媒体采访时表示:「在可预见的未来,我们不打算在疫苗领域投资新的三期临床试验。」
这些「新的」三期临床试验,其中就可能包括了针对尼帕病毒的 mRNA-1215(目前处于一期临床研究阶段)。

正在研发中的尼帕病毒疫苗(图源:Moderna 官网)
好在,我们仍有方法可以预防尼帕病毒感染。
目前,根据 2025 年 1 月起正式实施的《中华人民共和国国境卫生检疫法》,尼帕病毒已被纳入《监测传染病目录》。

致谢:本文经 首都医科大学附属北京佑安医院感染综合科主任医师 李侗曾 专业审核
策划 z_popeye
监制 islay
参考文献:
[1] Ang B S P, Lim T C C, Wang L. Nipah virus infection[J]. Journal of Clinical Microbiology, 2018, 56(6): e01875-17. DOI:10.1128/JCM.01875-17.[2] Roney M. We should concern about Nipah virus epidemic in Bangladesh[J]. Bulletin of the National Research Centre, 2024, 48: 55. DOI:10.1186/s42269-024-01213-2.[3] Centers for Disease Control and Prevention (CDC). Outbreak of Hendra-like virus—Malaysia and Singapore, 1998–1999[J]. Morbidity and Mortality Weekly Report (MMWR), 1999, 48: 265-269.