下载 App
请登录
注册
  • 问医生
  • 查疾病
  • 查药品
  • 查医院
  • 查检查/手术
  • 查疫苗
  • 急救指南
  • 测一测
  • 口碑医生推荐
  • 首页
  • 查疾病
  • 宝宝嘴里长泡

丁香医生审稿专业委员会同行评议通过
    宝宝嘴里长泡
    就诊科室:口腔科
    词条作者
    丁香医生医学团队

    丁香医生医学团队

    审核专家
    丁香医生医学团队

    丁香医生医学团队

    宝宝嘴巴里长泡,根据口腔中疱疹的不同形态及其他症状的伴随表现,一般对应着不同的疾病和处理方法。口疮 / 口腔溃疡症状表现局部单一或散发的浅、圆形至椭圆形的溃疡,周围边缘有红斑,中央呈淡黄色粘着渗出液。
    内容
    就诊
    更多
  • 内容

    宝宝嘴巴里长泡怎么办?

    宝宝嘴巴里长泡,根据口腔中疱疹的不同形态及其他症状的伴随表现,一般对应着不同的疾病和处理方法。

    口疮 / 口腔溃疡

    症状表现

    局部单一或散发的浅、圆形至椭圆形的溃疡,周围边缘有红斑,中央呈淡黄色粘着渗出液。口疮可发生在牙龈,舌头,嘴唇,上颚和颊粘膜上。

    从形态上讲,溃疡可以是小溃疡(直径小于 1 厘米),大溃疡(直径大于 1 厘米),或疱疹状即细小溃疡簇(直径 1~2 毫米,有时合并成较大的溃疡)。

    多不伴随发热。


    图片来源:[2]
    如何处理

    • 注意早晚刷牙,选择软毛牙刷;饭后可以用淡盐水漱口,大孩子可以选择漱口水,注意口腔卫生。可以遵医嘱选用溃疡凝胶等药物用在溃疡处。

    • 如果疼痛明显影响宝宝进食,可以口服解热镇痛药,多选择对乙酰氨基酚。

    • 如果 1~2 周还是没有改善或者加重或者反复发作,建议及时就医咨询。

    疱疹性咽峡炎

    症状表现

    疱疹急性发作,而且常常只集中在口腔内,手、脚等皮肤上没有皮疹。全年散发,夏季和初秋流行。

    病变开始时为丘疹,在 24 小时内发生囊泡。囊泡通常直径为 1~2 毫米,并被红斑乳晕所包围。大约 24 小时后,囊泡破裂,形成直径 3~4 毫米浅黄或灰白色溃疡,边缘发红。疱疹数目比较多,分布在上颚、颊粘膜、唇粘膜等口腔内部粘膜,多于上颚后壁。

    也就是说口腔疱疹是一个变化过程,早期是红点,然后发展为小水泡,最后破溃后形成小溃疡。可以伴随发热。


    图片来源:[1]
    如何处理

    • 多在 1 周左右自愈,不需要特殊治疗。

    • 宝宝因疼痛都不愿意吃东西,可以以牛奶、豆浆、米汤等流质食物为主,少食多餐;为了减少进食时嘴疼,避免过烫、过酸食物及刺激性食物。

    • 体温超过 38.5℃ 时可给予退热药(如布洛芬或对乙酰氨基酚)。

    手足口病

    症状表现

    手足口病与疱疹性咽峡炎是同一大类病毒引起的。口腔黏膜疹出现比较早,多集中在口腔前部,比如舌面或颊粘膜处。


    图片来源:[2]

    同时伴随手、足和臀等部位出现散在疱疹,疱疹里面的水少,米粒大小,周围有一圈红晕。皮疹不痛、不痒、不结痂、不结疤。且多伴随发热。

    手足口病可以出现重症,甚至累及神经系统。因此需要家长注意观察孩子精神状态。

    如何处理

    • 手足口病通常是一种自限性疾病,轻症多数 1 周左右会自行痊愈,通常情况下对症治疗即可。

    • 注意隔离患儿至全部症状消失,即体温正常、疱疹消退后再隔离 1 周,多隔离 2 周时间。

    • 口腔内疱疹及溃疡严重者,用淡盐水含漱。体温超过 38.5℃ 时可给予退热药(如布洛芬或对乙酰氨基酚)。

    • 因发热致体液丢失,加上嘴痛患儿拒绝吃东西,甚至于连水也不愿喝,此时注意积极口服补液,可以少量多次,从而维持水电平衡。

    黏液囊肿

    由唾液腺的少量粘液渗出进入腺体周围的软组织时形成的。

    症状表现

    单独存在。多发生在下唇内侧,但也可能发生在舌头或口腔底部黏膜。直径通常小于 1 厘米,壁光滑,呈蓝色或半透明。可以自发地消融。


    图片来源:[2]
    如何处理

    当干扰进食,影响吞咽或说话或引起不适时,需要去口腔科手术切除。

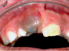
    萌牙囊肿

    症状表现

    常见于儿童萌出的乳牙或恒牙牙冠周围,因组织液或血液积聚所致,是一种生理现象。

    牙囊间隙的扩大,有一个鼓包。当与血液混合时,颜色发深。


    图片来源:[2]

    如何处理

    无需治疗。当牙齿通过囊肿萌出后,囊肿会自发消退。如果牙齿在囊肿出现两周内没有萌出,需要带宝宝去口腔科检查。

    牙龈脓肿

    症状表现

    是指与牙齿相关的脓包。是软的,孤立的丘疹,位于牙床上端。


    图片来源:[2]
    如何处理

    带宝宝去口腔科就诊,进行口腔治疗,以减少和消除组织的发炎。

    image

    参考资料
    · https://www.hindawi.com/journals/ijd/2016/7278925/
    · https://www.uptodate.com/contents/zh-Hans/soft-tissue-lesions-of-the-oral-cavity-in-children?search=Oral%20herpes&source=search_result&selectedTitle=3~84&usage_type=default&display_rank=3
  • 就诊